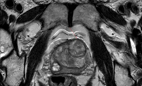
https://news.atos-kliniken.com/wp-content/uploads/2025/09/Rother-vorschau.webp300495ATOS xbhttps://news.atos-kliniken.com/wp-content/uploads/2020/12/atos-news-2.pngATOS xb2025-10-13 09:00:152025-09-25 10:42:44Prostata-MRT: Eine essenzielle Vorsorgeuntersuchung für Männer
https://news.atos-kliniken.com/wp-content/uploads/2025/09/NN_Frese-vorschau.webp300495ATOS xbhttps://news.atos-kliniken.com/wp-content/uploads/2020/12/atos-news-2.pngATOS xb2025-10-13 09:00:152025-09-25 10:43:27Dr. med. Falko Frese bei der Schwimm-WM in Singapur
https://news.atos-kliniken.com/wp-content/uploads/2021/10/hassan-allouch.jpg400600ATOS xbhttps://news.atos-kliniken.com/wp-content/uploads/2020/12/atos-news-2.pngATOS xb2025-10-13 09:00:052025-09-25 10:40:12Dr. med. Hassan Allouch wird neurochirurgischer Officer im Deutschen Council von AO Spine Europa
https://news.atos-kliniken.com/wp-content/uploads/2025/09/thuma-vorschau.webp300495ATOS xbhttps://news.atos-kliniken.com/wp-content/uploads/2020/12/atos-news-2.pngATOS xb2025-10-13 09:00:032025-09-25 10:39:35Umfassender „ATOS-360°-Präventiv-Check-up“ im interdisziplinären internistischen Zentrum