Oktober 2025 – Ausgabe 46
Check-up zur individuellen Gesundheitsvorsorge – Konzepte, Evidenz und Perspektiven
Prof. Dr. med. Matthias Müller-Hennessen
Zum Arztprofil
PD Dr. med. Markus Heckmann
Zum Arztprofil
Kardiovaskuläre Erkrankungen sind trotz therapeutischer Fortschritte nach wie vor die führende Todesursache in Europa. In Deutschland entfallen rund 34 % aller Todesfälle auf kardiovaskuläre Ursachen [1]. Während therapeutische Interventionen in der Akutversorgung stetig optimiert werden, bleibt das Potenzial der Primärprävention bislang nur teilweise ausgeschöpft. Gleichzeitig gibt es eine Unterversorgung in der risikoadaptierten Diagnostik. Die derzeit etablierten Check-up-Programme in der hausärztlichen Versorgung – wie der „Check-up 35“ – beinhalten primär Basisparameter und orientieren sich an allgemeinen Bevölkerungsdaten. Für eine präzisere, individualisierte Vorsorgestrategie bedarf es strukturierter Erweiterungen durch bildgebende Verfahren, Biomarker und funktionelle Tests.
Individualisierte Vorsorge im Zentrum für Herz-, Gefäß- und Präventivmedizin in der ATOS Klinik Heidelberg
Im Zentrum für Herz-, Gefäß- und Präventivmedizin in der ATOS Klinik Heidelberg ist der medizinische Check-up ein integraler Bestandteil moderner Gesundheitsvorsorge. Ziel ist es, nicht allein medizinische Parameter zu erheben, sondern diese im Kontext des individuellen Lebensstils, des biologischen Alters, der familiären Disposition und psychosozialer Faktoren zu interpretieren. Die Check-up-Module sind flexibel aufgebaut und ermöglichen – je nach Risikokonstellation – eine vertiefte Analyse, eine strukturierte Verlaufskontrolle sowie bei Bedarf auch eine therapeutische Begleitung (Abb. 1). Prävention wird hier nicht nur als punktuelle Maßnahme verstanden, sondern als fortlaufender, dynamischer Prozess, der individuell auf den Menschen ausgerichtet ist.
Der Check-Up: Basisdiagnostik
Die ärztliche Anamnese bildet immer die Grundlage der Vorsorge. Dabei sind nicht nur klassische Parameter (Hypertonie, Dyslipidämie, Diabetes) relevant, sondern auch psychosoziale Faktoren, Schlafstörungen, beruflicher Stress, depressive Symptome und Bewegungsmuster.
Die körperliche Untersuchung, einschließlich Langzeitblutdruckmessung und Ruhe-EKG, liefert erste objektivierbare Daten. Ergänzend dazu erlaubt die transthorakale Echokardiographie die Beurteilung der systolischen und diastolischen Ventrikelfunktion, während die Messung der Intima-Media-Dicke und die Detektion atherosklerotischer Plaques an der A. carotis communis eine einfache, nicht invasive Methode zur Erfassung subklinischer Atherosklerose darstellen. Dies kann eine Neubewertung des Gesamtrisikos nach sich ziehen.
Erweiterte Bildgebung mittels Koronar-CT und Kardio-MRT
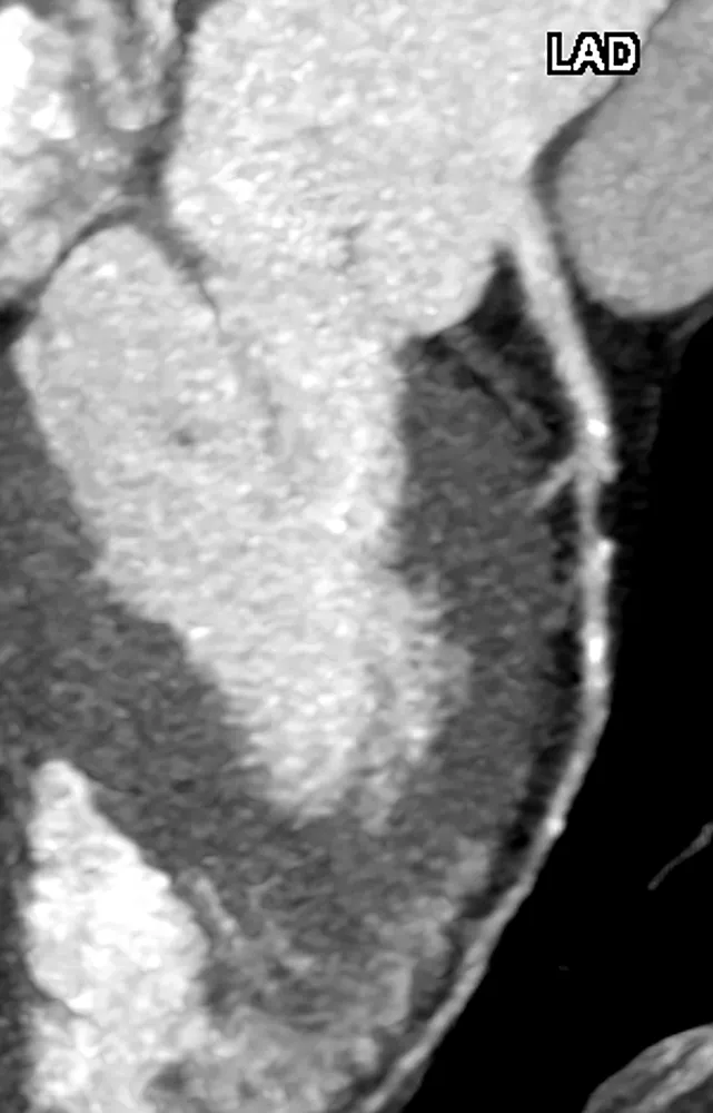
Die Koronar-CT-Angiographie (CCTA) hat sich als zentrales Verfahren in der präventiven Herz-Kreislauf-Medizin etabliert. Sie erlaubt die direkte, nicht invasive Darstellung der koronaren Anatomie, einschließlich der Plaquemorphologie und des Stenosegrads. Bereits im subklinischen Stadium lassen sich damit atherosklerotische Veränderungen erfassen, die bei konventioneller Diagnostik unentdeckt bleiben.
Zahlreiche Studien, darunter die SCOT-HEART-Studie, haben gezeigt, dass die Einbindung der CCTA zu einer verbesserten Ereignisvorhersage und gezielteren Therapieeinleitung führen kann [2]. Neben der Quantifizierung des Kalziumscores (Agatston) ermöglicht die CCTA auch die Beurteilung nicht kalzifizierter und gemischter Plaques. Besonders relevant sind morphologische Merkmale, wie low attenuation plaques, positives Remodeling, spotty calcifications und das „napkin-ring sign“, da sie mit instabilen, rupturgefährdeten Läsionen assoziiert sind (Abb. 2).
Die Beurteilung des Stenosegrads erfolgt auf Grundlage der luminalen Einengung. Eine Stenose > 50 % wird als potenziell hämodynamisch relevant eingeschätzt. Zur Beurteilung der funktionellen Relevanz kann bei Bedarf eine CT-basierte Bestimmung der fractional flow reserve (FFR-CT) oder eine weiterführende Ischämiediagnostik erfolgen (Abb. 3).
Insbesondere bei asymptomatischen Personen mit intermediärem Risiko bietet die CCTA somit einen präzisen Zugang zur Früherkennung klinisch stiller Atherosklerose. Die ESC-Leitlinien unterstützen ihren Einsatz ausdrücklich, sofern das Ergebnis Einfluss auf das therapeutische Vorgehen hat [3].
Ergänzend liefert die Stress-Kardio-Magnetresonanztomographie (MRT) wertvolle Informationen zur myokardialen Perfusion. Sie erlaubt eine funktionelle Beurteilung ischämischer Areale ohne Strahlenexposition. Die Kombination aus struktureller (CCTA) und funktioneller (MRT) Bildgebung bietet eine umfassende Risikoeinschätzung mit hoher Sensitivität und Spezifität.
Biomarker in der Prävention – Neue Dimensionen der Risikodiagnostik
Neben etablierten Laborparametern, insbesondere LDL- und HDL-Cholesterin, gewinnen Biomarker zunehmend an Bedeutung, die über den klassischen Lipidstoffwechsel hinausgehen und tiefergehende pathophysiologische Prozesse abbilden.
An erster Stelle steht Lipoprotein(a) [Lp(a)], ein genetisch determinierter, LDL-ähnlicher Lipoproteinkomplex, der mit dem Risiko für koronare Herzerkrankung, Aortenklappenstenose und ischämischen Schlaganfall assoziiert ist [4]. Aufgrund seiner genetischen Fixierung genügt eine einmalige Messung zur Risikoabschätzung (siehe Infokasten S. 45).
Auch hochsensitives Troponin (hs-Tn), ursprünglich zur Akutdiagnostik des Myokardinfarkts entwickelt, liefert wichtige Hinweise auf subklinische Myokardschädigungen. Bereits geringfügige Erhöhungen im oberen Normbereich gehen mit einem erhöhten Risiko für zukünftige kardiovaskuläre Ereignisse einher – selbst bei asymptomatischen Personen [5].
Neben weiteren etablierten Markern wie hs-CRP oder NT-proBNP bieten auch einige neuartige Biomarker, die ursprünglich in der Akutversorgung validiert wurden – einschließlich Amyloid-ß oder Cathepsin S [6, 7] –, zukünftiges Potenzial für eine präventive Risikostratifizierung. Während sich bei Amyloid-β mögliche Anknüpfungspunkte zu neurovaskulären und neurodegenerativen Prozessen wie vaskulärer Demenz ergeben, verdient Cathepsin S als proinflammatorisches Enzym in der Beurteilung vulnerabler Plaques weitere Beachtung. Durch eine Integration in strukturierte Check-ups könnten individuelle Risikoprofile noch genauer abgebildet werden – ein Ansatz, der derzeit weiter beforscht wird und das Potenzial hat, die Präventionsmedizin der kommenden Jahre maßgeblich mitzugestalten.
Risikostratifizierung im Wandel – Genetik, Epigenetik und künstliche Intelligenz
Die klassische Risikostratifizierung wird zunehmend durch Modelle ergänzt, die genetische, epigenetische und bildgebende Daten integrieren: Polygenic Risk Scores (PRS) fassen genetische Risikovarianten zusammen und ermöglichen eine prädiktive Einschätzung der kardiovaskulären Krankheitswahrscheinlichkeit [8]. Darüber hinaus liefern epigenetische Marker wie DNA-Methylierungsmuster Hinweise auf das biologische Gefäßalter. In der Bildgebung kommt künstlicher Intelligenz eine wachsende Bedeutung zu: Deep-Learning-Algorithmen erkennen Plaquetypen in der Koronar-CT und korrelieren diese mit Ereigniswahrscheinlichkeiten.
Lebensstil und Umwelt: Unterschätzte Risikofaktoren
Ungeachtet aller Hochtechnologie bleibt der Lebensstil einer der wichtigsten modifizierbaren Einflussfaktoren. Bewegungsmangel, Fehlernährung, Nikotinkonsum und chronischer Stress sind nach wie vor stark wirksame Prädiktoren für Atherosklerose – unabhängig von genetischer Disposition. Auch Umweltbelastungen, wie Luftverschmutzung oder Lärm, zeigen in großen Kohortenstudien klare Assoziationen mit kardiovaskulären Ereignissen.
Medikamentöse Prävention: Strategien und neue Optionen
Die lipidsenkende Therapie mit Statinen bleibt die zentrale pharmakologische Strategie der Primärprävention. Abhängig vom Risikoprofil können LDL-Zielwerte von unter 100, 70 oder sogar 55 mg/dl angestrebt werden. Ergänzend kommen Ezetimib, Bempedoinsäure oder PCSK9-Inhibitoren, wie Alirocumab oder Evolocumab, zum Einsatz. Darüber hinaus steht mit Inclisiran eine RNA-Interferenz-basierte Therapie zur Verfügung, die eine anhaltende LDL-Senkung mittels halbjährlicher Applikation ermöglicht. Neue epigenetische Therapiestrategien zur gezielten Stilllegung des PCSK9-Gens befinden sich in präklinischer Entwicklung [10].
Ein innovativer Ansatz ergibt sich durch den Einsatz von GLP-1-Rezeptoragonisten wie Semaglutid. In der SELECT-Studie konnte erstmals gezeigt werden, dass auch nicht diabetische, adipöse Personen durch Semaglutid eine signifikante Reduktion kardiovaskulärer Ereignisse erfahren – unabhängig von HbA1c [11]. Die Substanzen wirken über Gewichtsreduktion, Blutdrucksenkung, Entzündungshemmung und möglicherweise auch direkt auf das Gefäßendothel. Ihre Bedeutung in der erweiterten Primärprävention dürfte in den kommenden Jahren zunehmen insbesondere bei metabolisch belasteten Hochrisikopatienten.
Fazit: Aktiv vorsorgen – Für ein gesundes Morgen
Strukturierte kardiovaskuläre Vorsorge ist heute mehr als eine Momentaufnahme: Sie ist der Schlüssel zu einer vorausschauenden Medizin, die Risiken erkennt, bevor sie klinisch relevant werden. Moderne Diagnostik – von der Koronar-CT bis zum molekularen Marker – ermöglicht eine präzise, personalisierte Risikobewertung und schafft damit die Grundlage für gezielte Interventionen.
Genau hier setzt das Zentrum für Herz-, Gefäß- und Präventivmedizin in der ATOS Klinik Heidelberg an – mit einem klinisch verankerten Konzept, das wissenschaftliche Evidenz mit ärztlicher Erfahrung verbindet und Prävention als kontinuierlichen Prozess mit langfristiger Begleitung versteht.
Denn wer heute aktiv vorsorgt, investiert nicht nur in die Gesundheit und Lebensqualität von morgen, sondern setzt auf ein medizinisches Konzept, das Wissenschaft und Versorgungspraxis wirksam verbindet – persönlich begleitet, medizinisch fundiert und auf der Höhe der Zeit.


