Oktober 2025 – Ausgabe 46
Prostata-MRT: Eine essenzielle Vorsorgeuntersuchung für Männer
Dr. med. Christian Rother
Zum Arztprofil
Die Gesundheit der Prostata stellt für Männer, insbesondere im fortgeschrittenen Alter, ein zentrales Thema dar. Prostatakrebs ist weltweit die häufigste Krebserkrankung bei Männern, und obwohl die Heilungschancen in den frühen Stadien sehr gut sind, wird die Erkrankung häufig erst zu einem fortgeschrittenen Zeitpunkt diagnostiziert. Dies liegt daran, dass viele Symptome erst dann auftreten, wenn die Erkrankung bereits weit fortgeschritten ist. Vor diesem Hintergrund ist eine frühzeitige Erkennung von Prostatakrebs von größter Bedeutung.
Eine der präzisesten Methoden zur Diagnostik ist das Prostata-MRT (Magnetresonanztomogramm), eine hochmoderne bildgebende Verfahrenstechnik, die eine detaillierte und strahlungsfreie Darstellung der Prostata und des umgebenden Gewebes ermöglicht. Im Folgenden wird die Bedeutung der Prostata-MRT-Untersuchung erläutert, ihre Vorteile werden hervorgehoben, und es wird erklärt, warum diese Untersuchung ein unverzichtbarer Bestandteil der Vorsorgeuntersuchungen für Männer ist.
Was ist ein Prostata-MRT?
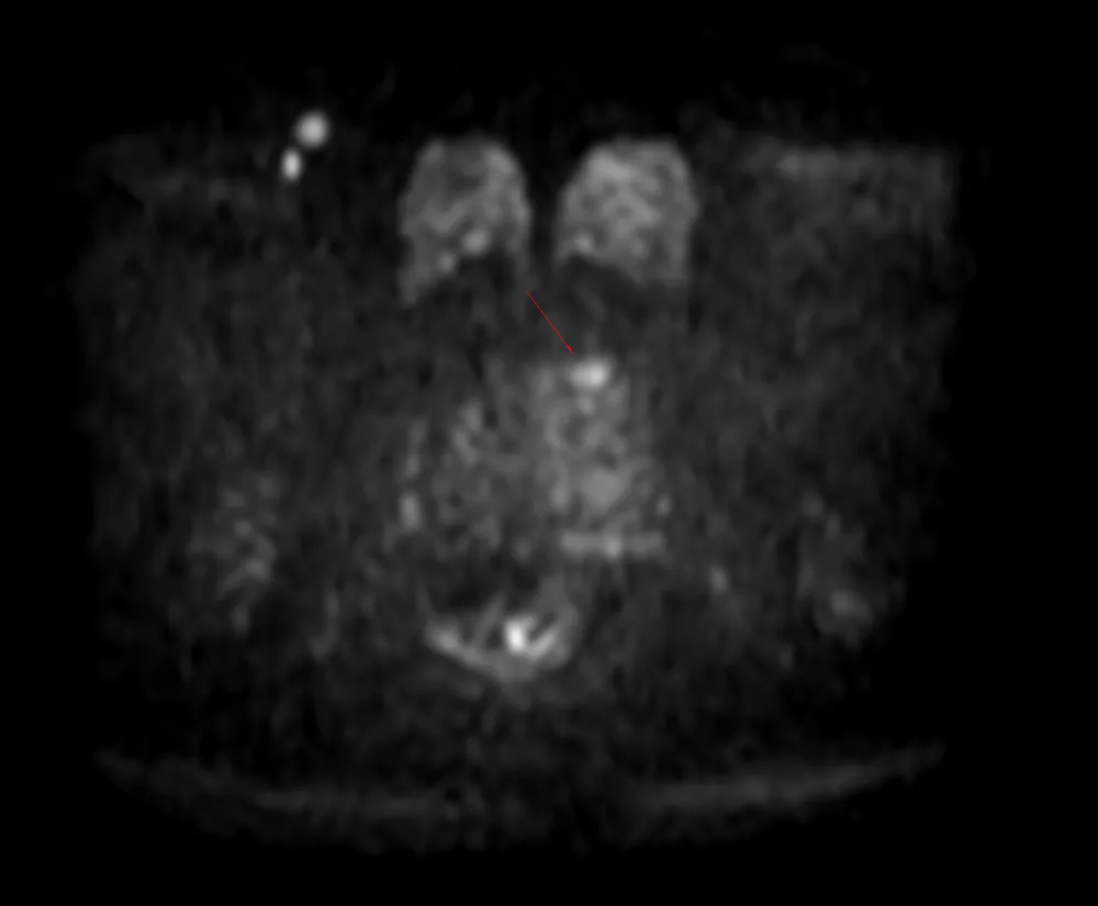
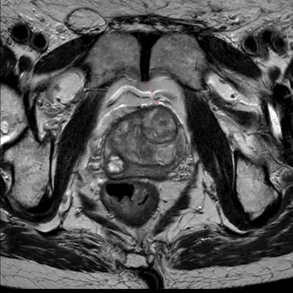
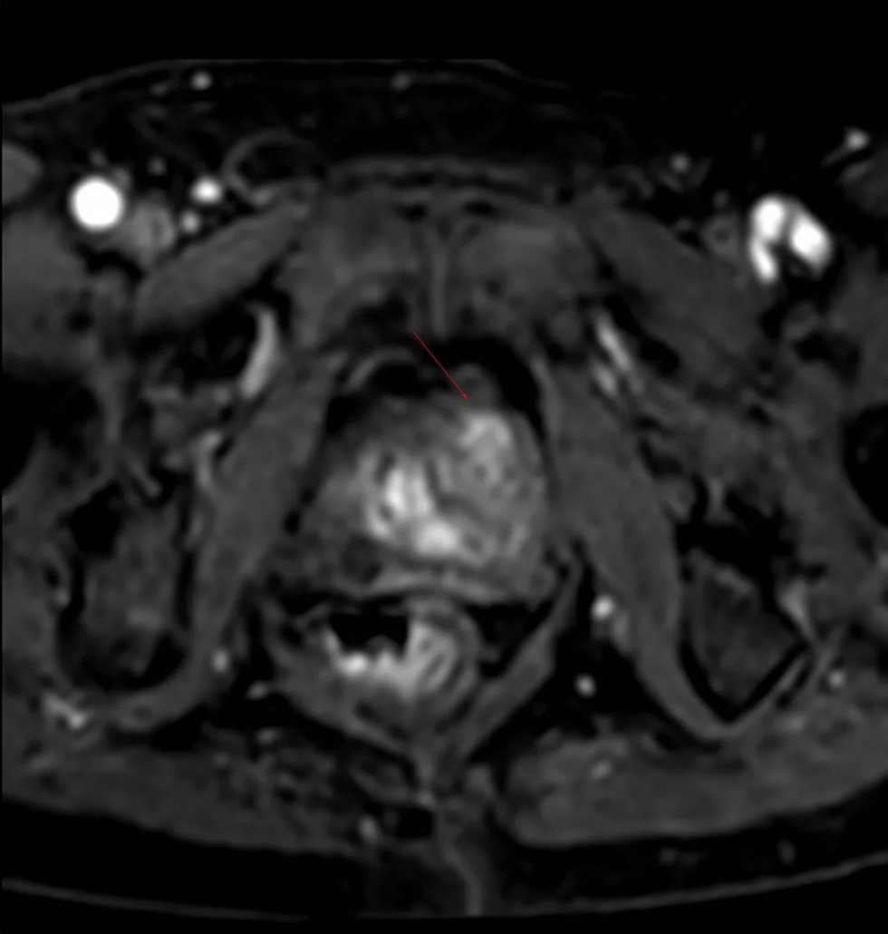
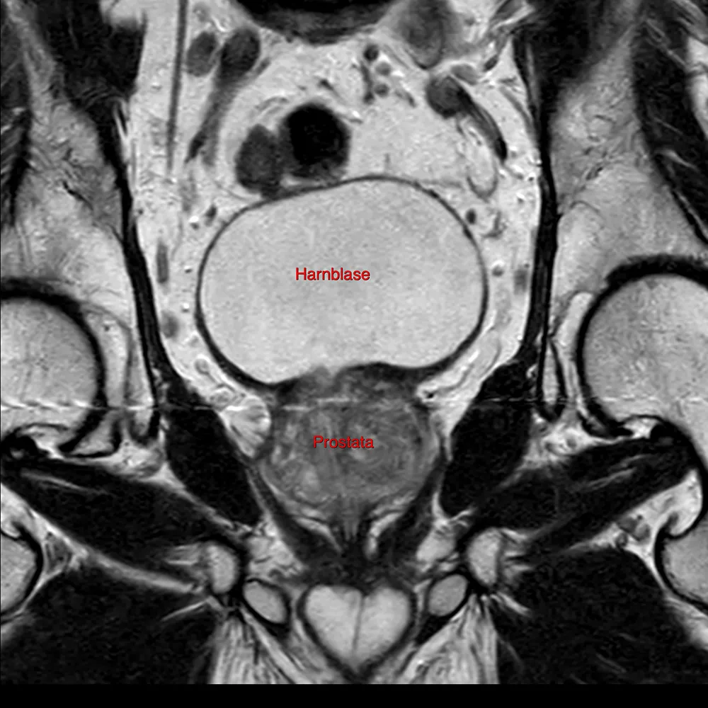
Das Prostata-MRT ist eine spezielle Form der Magnetresonanztomographie, bei der hochauflösende Bilder der Prostata und des angrenzenden Gewebes erstellt werden. Es handelt sich um eine nicht invasive Methode, die ohne den Einsatz von Röntgenstrahlen auskommt. Im Vergleich zu anderen bildgebenden Verfahren, wie der transrektalen Ultraschalluntersuchung oder der Prostatabiopsie, bietet das Prostata-MRT eine exzellente Bildqualität und eine besonders präzise Darstellung der Gewebestruktur.
Das Prostata-MRT liefert wichtige Informationen, die es ermöglichen, sowohl Tumore als auch andere pathologische Veränderungen im Gewebe frühzeitig zu erkennen. Gerade in den Anfangsstadien von Prostatakrebs, in denen noch keine Symptome auftreten, kann das MRT potenziell auffällige Stellen sichtbar machen, die ansonsten unentdeckt bleiben würden.
Warum ist das Prostata-MRT für Männer wo wichtig?
Die frühzeitige Erkennung von Prostatakrebs ist entscheidend für die Prognose der betroffenen Patienten. In den meisten Fällen wächst Prostatakrebs zunächst sehr langsam und verursacht lange Zeit keine Symptome. Dies führt häufig dazu, dass die Erkrankung erst in einem fortgeschrittenen Stadium diagnostiziert wird, wenn sie sich auf andere Organe ausgebreitet hat und die Behandlungsmöglichkeiten eingeschränkt sind.
Selbst kleinste Tumore und Veränderungen im Prostatagewebe können so identifiziert werden, die im Frühstadium möglicherweise keine klinischen Symptome hervorrufen. Dies bietet nicht nur die Möglichkeit einer schnelleren und weniger invasiven Behandlung, sondern erhöht auch die Heilungschancen erheblich.
Das Prostata-MRT wird insbesondere dann empfohlen, wenn andere diagnostische Methoden, wie der PSA-Test (Prostataspezifisches Antigen) oder die digitale rektale Untersuchung (DRU), zu einem erhöhten Verdacht auf Prostatakrebs führen. Auch für Männer ohne auffällige Symptome, aber mit einer familiären Vorbelastung oder einer erhöhten genetischen Prädisposition für Prostatakrebs kann das Prostata-MRT eine wertvolle Vorsorgemaßnahme darstellen.
Vorteile des Prostata-MRT
Das Prostata-MRT bietet eine Vielzahl von Vorteilen, die es zu einem unverzichtbaren Bestandteil der modernen medizinischen Diagnostik und Vorsorgeuntersuchung machen.
Früherkennung von Prostatakrebs: Das Prostata-MRT ist eines der präzisesten Verfahren zur Erkennung von Tumoren in der Prostata. In den frühen Stadien, in denen der Tumor möglicherweise noch keine Symptome verursacht, können mit dem MRT selbst kleinste Veränderungen im Gewebe entdeckt werden. Eine frühzeitige Diagnose ermöglicht eine gezielte Behandlung, bevor sich der Tumor ausbreitet.
Nicht invasive Methode: Im Gegensatz zu invasiven Verfahren wie der Prostatabiopsie ist das Prostata-MRT vollkommen schmerzfrei und erfordert keinen Eingriff in den Körper. Es handelt sich um eine rein bildgebende Untersuchung, die keine Strahlung verwendet, was sie besonders schonend und sicher für den Patienten macht.
Vermeidung unnötiger Biopsien: In vielen Fällen wird eine Biopsie nur dann notwendig, wenn das Prostata-MRT auffällige Gewebeveränderungen zeigt. Das MRT hilft somit, unnötige Biopsien zu vermeiden, die mit Risiken und Komplikationen verbunden sein können. Es ermöglicht eine gezielte Entnahme von Gewebeproben, wenn dies erforderlich ist.
Bessere Behandlungsplanung: Sollte Verdacht auf Prostatakrebs bestehen, liefert das Prostata-MRT wichtige Informationen über die Größe, Lage und Ausbreitung des Tumors. Dies hilft den Ärzten, eine maßgeschneiderte Therapie zu planen, sei es in Form einer Operation, Strahlentherapie oder einer anderen Behandlungsmethode.
Zugang zur Vorsorge für Männer ohne Symptome: Auch Männer ohne Symptome, aber mit einem erhöhten Risiko für Prostatakrebs sollten regelmäßig ein Prostata-MRT in Erwägung ziehen. Vor allem Männer mit einer familiären Vorbelastung oder einem erhöhten PSA-Wert können von dieser frühen, nicht invasiven Untersuchung profitieren.
Wer sollte ein Prostata-MRT in Erwägung ziehen?
Das Prostata-MRT wird vor allem Männern empfohlen, die ein erhöhtes Risiko für Prostatakrebs aufweisen. Dies trifft insbesondere auf Männer ab dem 50. Lebensjahr zu, da das Risiko mit dem Alter steigt. Männer mit einer familiären Vorbelastung oder bestimmten genetischen Prädispositionen sind ebenfalls stärker gefährdet und sollten in regelmäßigen Abständen eine solche Untersuchung durchführen lassen.
Auch für Männer, bei denen der PSA-Wert erhöht ist oder bei denen bei der digitalen rektalen Untersuchung Unregelmäßigkeiten festgestellt wurden, ist das Prostata-MRT eine wertvolle diagnostische Ergänzung. In Fällen, in denen eine Biopsie erforderlich erscheint, ermöglicht das MRT eine präzisere Zielgenauigkeit, indem es die genaue Lokalisation des verdächtigten Gewebes anzeigt.
Kostenübernahme
Das Prostata-MRT wird in der Regel als IGe-Leistung (Individuelle Gesundheitsleistung) angeboten, was bedeutet, dass die Kosten in den meisten Fällen nicht von den gesetzlichen Krankenkassen übernommen werden. Privatpatienten können die Kosten in der Regel über ihre private Krankenversicherung abrechnen. Es empfiehlt sich, vor der Untersuchung mit der eigenen Versicherung zu klären, ob die Kosten übernommen werden.
Für Patienten, die bei bestimmten Betriebskrankenkassen versichert sind, besteht jedoch die Möglichkeit, das Prostata-MRT als Kassenleistung über einen Selektivvertrag abzurechnen. In unserer Praxis bieten wir diese Abrechnungsmöglichkeit an.
Dort finden Sie auch detaillierte Informationen zur Abwicklung und zu den Voraussetzungen für die Kostenübernahme.
Fazit: Prostata-MRT als unverzichtbare Vorsorgeuntersuchung
Das Prostata-MRT stellt eine der effektivsten und modernsten Methoden zur Früherkennung von Prostatakrebs dar. Insbesondere für Männer ab 50 Jahren oder für jene mit erhöhtem Risiko aufgrund familiärer Vorbelastung oder mit erhöhten PSA-Werten ist die Untersuchung ein unverzichtbarer Bestandteil der Vorsorgeuntersuchungen. Sie ermöglicht die frühzeitige Identifikation von Tumoren, die in den frühen Stadien noch keine Symptome verursachen, und trägt so maßgeblich zur Erhöhung der Heilungschancen bei.
Durch den Einsatz modernster Technologie liefert das Prostata-MRT präzise, hochauflösende Bilder, die eine detaillierte Analyse des Prostatagewebes ermöglichen. In Kombination mit anderen diagnostischen Verfahren, wie dem PSA-Test, stellt es eine wertvolle Ergänzung in der frühzeitigen Diagnostik von Prostatakrebs dar.
Mit einer regelmäßigen Vorsorgeuntersuchung, einschließlich des Prostata-MRT, tragen Männer aktiv zur Erhaltung ihrer Gesundheit bei und erhöhen ihre Chancen auf eine frühzeitige Diagnose und eine erfolgreiche Behandlung.

